Lekarz Odkrywa: Ropne Pryszcze Po Alkoholu!

Lekarz Odkrywa: Ropne Pryszcze Po Alkoholu!

⁠⁠⁠⁠⁠⁠⁠

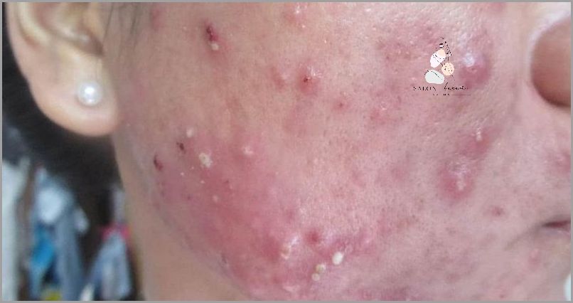
Ropne pryszcze po alkoholu są nieprzyjemnym problemem, z którym styka się wielu ludzi. Jest to problem dermatologiczny, w którym występują zapalenia skóry w miejscu, w którym spożyta została alkohol. Może występować na twarzy, szyi, dekolcie lub na ramionach. Jest to spowodowane reakcjami alergicznymi i zaburzeniami hormonalnymi. Ropne pryszcze po alkoholu charakteryzują się stanem zapalnym okołoprzydatkowym, który objawia się swędzącymi i bolesnymi pęcherzykami wypełnionymi płynem.

Ropne Pryszcze Po Alkoholu

Ropne pryszcze po alkoholu to nieprzyjemny i często bolesny skutek spożywania alkoholu. Mogą one pojawić się nawet po jednym drinku. Można się ich pozbyć stosując ogólne środki higieniczne, unikanie alkoholu i stosowanie leków przeciwtrądzikowych. Ważne jest, aby nie drapać tych pryszczy, ponieważ może to prowadzić do rozprzestrzeniania się zakażenia. W najgorszym przypadku może to wymagać leczenia u lekarza. Aby uniknąć tego problemu, należy pić alkohol z umiarem.

Przyczyny różnych pryszczy po alkoholu.

Alkohol może wywoływać różne reakcje skórne, w tym pryszcze. Wiele osób może doświadczać pryszczy po wypiciu alkoholu i wiedzieć, że jest to spowodowane alkoholem, jednak nie wiedzą, dlaczego tak się dzieje.

Niestety, nie ma jednej odpowiedzi na pytanie, dlaczego ludzie doświadczają pryszczy po alkoholu. Istnieje wiele czynników, które mogą wywoływać pryszcze, w tym zawartość alkoholu w napoju, wiek, wrażliwość skóry i skłonność do reakcji alergicznych.

Lekarz Odkrywa: Ropne Pryszcze Po Alkoholu!

Najczęstszą przyczyną pojawienia się pryszczy po alkoholu jest zawartość alkoholu. Alkohol może podrażniać skórę, co może wywołać zaczerwienienie, wysypkę i pryszcze. Alkohole o wyższej zawartości alkoholu, takie jak wódka, są bardziej podrażniające i mogą powodować poważniejsze reakcje skórne.

Więcej  Ręcznie Robione Mydło - Zaskakujące Konsekwencje!

Innym powodem występowania pryszczy po alkoholu może być wiek. Starsi ludzie częściej doświadczają pryszczy po alkoholu, ponieważ skóra staje się bardziej wrażliwa na podrażnienia związane z alkoholem.

Wrażliwość skóry może również wpływać na to, czy ludzie doświadczą pryszczy po alkoholu. U osób o wrażliwej skórze może dochodzić do reakcji alergicznych, w wyniku których pojawiają się pryszcze.

Niezależnie od przyczyn, istnieją sposoby na zmniejszenie prawdopodobieństwa wystąpienia pryszczy po alkoholu. Zaleca się picie napojów o niskiej zawartości alkoholu, unikanie nadmiernego spożywania alkoholu i picie dużo wody w celu złagodzenia skutków ubocznych.

Jak zapobiegać różnym pryszczom po alkoholu?

Ropne pryszcze po alkoholu to dość powszechny problem, który dotyka wielu osób. Choć nie jest to poważna choroba, może być naprawdę dokuczliwa i nieestetyczna. Na szczęście istnieje wiele sposobów, aby zapobiec wystąpieniu tych pryszczów.

Lekarz Odkrywa: Ropne Pryszcze Po Alkoholu!

Po pierwsze, zaleca się ograniczenie spożycia alkoholu – zwłaszcza jeśli zazwyczaj pije się dużo. Umiarkowane spożywanie alkoholu może zmniejszyć ryzyko wystąpienia pryszczów. Jeśli nie można się powstrzymać od picia, należy przynajmniej unikać słodzonych napojów alkoholowych, które zawierają dużo cukru.

Kolejnym sposobem na zapobieganie wystąpieniu ropnych pryszczów po alkoholu jest regularna pielęgnacja skóry. Należy używać wysokiej jakości kosmetyków, które są odpowiednie dla typu skóry, i stosować je regularnie. Należy też regularnie odwiedzać swojego dermatologa, aby upewnić się, że robi się wszystko, co w swojej mocy, aby utrzymać skórę w dobrym stanie.

Jeśli już pojawią się pryszcze, należy zawsze zachować higienę. Ważne jest, aby unikać dotykania lub drapania pryszczów, ponieważ może to powodować zakażenie i zaostrzenie problemu. Ważne jest również, aby regularnie myć twarz, aby usunąć wszelkie zanieczyszczenia i bakterie, które mogą powodować pryszcze.

Ponadto należy unikać ekspozycji na słońce i stosować wysokiej jakości kremy z wysokim filtrem przeciwsłonecznym. Można również skonsultować się z lekarzem lub farmaceutą w celu uzyskania odpowiedniego leczenia.

Więcej  Kup Teraz! Jak Wybrać Idealny Junkers Gazowy?

Wniosek jest taki, że choć istnieje wiele sposobów na zapobieganie wystąpieniu ropnych pryszczów po alkoholu, ważne jest, aby zawsze zachować odpowiednią higienę i dobrze dbać o swoją skórę.

Jak leczyć różne pryszcze po alkoholu?

Lekarz Odkrywa: Ropne Pryszcze Po Alkoholu!

Ropne pryszcze po alkoholu mogą być naprawdę uciążliwe i trudne do wyleczenia. Zazwyczaj są one wywołane przez nadmierne spożywanie alkoholu, niezdrowy tryb życia lub niedostateczną pielęgnację skóry. Aby skutecznie leczyć ropne pryszcze po alkoholu, trzeba wiedzieć, jak postępować podczas leczenia.

Pierwszą rzeczą, którą należy zrobić w leczeniu równych pryszczy po alkoholu, jest zaprzestanie spożywania alkoholu. Alkohol może podrażniać skórę, co może powodować więcej pryszczy. Zamiast spożywać alkohol, należy pić dużo wody, aby zapobiec odwodnieniu skóry.

Kolejnym krokiem jest stosowanie odpowiednich produktów do pielęgnacji skóry. Używanie produktów z naturalnymi składnikami może pomóc złagodzić stan skóry. Przed użyciem produktu do pielęgnacji skóry należy skonsultować się z lekarzem lub dermatologiem, aby upewnić się, że produkt jest odpowiedni dla Twojej skóry.

Kiedy już zaczniesz stosować odpowiednie produkty do pielęgnacji skóry, należy regularnie stosować maseczki do twarzy. Maseczki do twarzy pomogą oczyścić skórę z toksyn, które mogą powodować różne pryszcze. Regularne stosowanie maseczek do twarzy pomoże także w wygładzeniu i ujędrnieniu skóry twarzy.

Kolejnym ważnym krokiem jest używanie odpowiednich kremów i maści do skóry. Krem zawierający kwas salicylowy może pomóc wyeliminować różne pryszcze. Maść z wyciągiem z aloesu może pomóc w łagodzeniu stanu skóry i zapobiegać tworzeniu się nowych pryszczy.

Wreszcie, zalecane jest stosowanie okładów z ziołowych naparów lub stosowanie naturalnych olejków. Napary z ziół, takich jak rumianek lub nagietek, można stosować jako okłady na skórę w celu łagodzenia stanu skóry. Natomiast naturalne olejki, takie jak olejek jojoba lub olejek z pestek winogron, mogą pomóc w utrzymaniu skóry w dobrej kondycji.

Więcej  Goździki na balkon: Stwórz magiczną kolorową oazę na małej przestrzeni

Podsumowując, aby skutecznie leczyć różne pryszcze po alkoholu, trzeba zacząć od zaprzestania spożywania alkoholu, zmiany niezdrowych nawyków oraz stosowania odpowiednich produktów do pielęgnacji skóry. Może to pomóc w usunięciu różnych pryszczy i sprawić, że skóra będzie wyglądać zdrowo i promiennie.

Wniosek

Podsumowując, alkohol może powodować powstawanie ropnych pryszczy. Te pryszcze są bolesne i trudne do leczenia, dlatego ważne jest, aby ograniczyć spożycie alkoholu, jeśli chce się uniknąć powstawania tego rodzaju pryszczy. W przypadku wystąpienia pryszczy po spożyciu alkoholu, należy skontaktować się z lekarzem, aby uzyskać odpowiednie leczenie.

Oliwia Nowakowska jest profesjonalną wizażystką i twórczynią bloga SalonHanami.pl. Pochodzi z Katowic, gdzie ukończyła szkołę policealną o kierunku wizażu. Oliwia zaczęła swoją karierę w wizażu w 2012 roku, pracując jako wizażystka dla lokalnych salonów i sesji zdjęciowych. Od tamtego czasu stała się jedną z najbardziej obiecujących twórczyń makijażu w Polsce. Oliwia jest również aktywnym blogerem, a jej blog SalonHanami.pl jest często czytany przez tysiące czytelników. Zawiera wiele przydatnych porad dotyczących makijażu i urody, a także wywiady z wiodącymi profesjonalistami w branży.

Opublikuj komentarz

Być może przegapiłeś