Czy Ból Zęba Po Leczeniu Kanałowym to Norma? – Forum.

Witamy na Ból Zęba Po Leczeniu Kanałowym Forum, gdzie możesz porozmawiać z innymi o swoich doświadczeniach związanych z leczeniem kanałowym zęba. Tutaj możesz podzielić się swoimi doświadczeniami i porozmawiać z innymi o tym, jak radzić sobie z bólem zęba po leczeniu kanałowym. Możesz również zasięgnąć porad od innych użytkowników, aby dowiedzieć się, jakie są dostępne opcje leczenia i jak efektywnie radzić sobie z bólem zęba po leczeniu kanałowym. Forum to jest równie
Ból Zęba Po Leczeniu Kanałowym Forum
Ból zęba po leczeniu kanałowym może być bardzo trudnym doświadczeniem. Na szczęście istnieje wiele forów, na których możesz porozmawiać z innymi osobami, które przeszły tę samą procedurę i dzielić się swoimi doświadczeniami. Dowiedz się, jak inne osoby radzą sobie z bólem zęba po leczeniu kanałowym, a jeśli czujesz się zagubiony, zapytaj o radę. Możesz również poznać inne przypadki i dowiedzieć się, jakie leki lub środki zaradcze są skuteczne, aby złagodzić ból. Forum to doskonałe miejsce do wymiany informacji i doświadczeń, dlatego zachęcam do korzystania z różnych forów internetowych.
Jakie są objawy bólu zęba po leczeniu kanałowym?
Ból zęba po leczeniu kanałowym to bardzo częsta dolegliwość, z którą zmaga się wielu pacjentów. Oczywiście, przyczyny bólu są różne, ale często wynikają one z niedostatecznego leczenia kanałowego. Z tego powodu, jeżeli odczuwasz ból po leczeniu kanałowym, powinieneś skontaktować się z lekarzem stomatologiem w celu ustalenia jego przyczyny.

Jakie są objawy bólu zęba po leczeniu kanałowym? Najczęstszym objawem jest ból w miejscu zęba, z którego został usunięty ząb. Może on być napadowy lub trwać kilka dni. Ponadto, ból może być nasilony podczas dotykania zęba lub gdy zjesz zimne lub gorące jedzenie. Poza tym, pacjenci często odczuwają ból w innych częściach twarzy, w tym w okolicy ucha, policzka lub skroni. Ból może być bardzo silny i trwać kilka dni.
W niektórych przypadkach po leczeniu kanałowym u pacjenta może pojawić się obrzęk. Obrzęk może być widoczny z zewnątrz i może być bardzo bolesny. Dodatkowo, może pojawić się wysoka temperatura i gorączka.
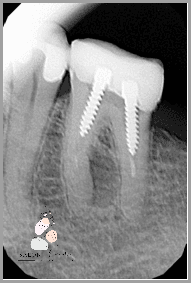
Jeśli masz ból zęba po leczeniu kanałowym, należy skontaktować się z lekarzem stomatologiem w celu ustalenia przyczyny. Lekarz może zlecić zdjęcie RTG, aby zobaczyć, czy ząb jest w dobrym stanie. W przypadku wykrycia problemu lekarz może zalecić dodatkowe leczenie, aby wyeliminować ból. Możliwe jest również zastosowanie znieczulenia lub innych metod łagodzenia bólu.
Jakie są przyczyny bólu zęba po leczeniu kanałowym?
Ból zęba po leczeniu kanałowym jest częstym schorzeniem, które dotyka wielu pacjentów. Jest to bardzo uciążliwy problem, który może utrzymywać się przez długi czas po zabiegu. Przyczyny bólu zęba po leczeniu kanałowym są bardzo złożone i zależą od wielu czynników.

Jedną z najczęstszych przyczyn bólu zęba po leczeniu kanałowym jest zakażenie. Leczenie kanałowe polega na usunięciu zepsutego zęba i wypełnieniu go środkiem antybakteryjnym. Czasami bakterie pozostają w kanale i powodują powstawanie stanu zapalnego. Inne czynniki, które mogą powodować ból zęba po leczeniu kanałowym, to niewłaściwa technika leczenia, przedłużony czas trwania leczenia, niewłaściwy rodzaj wypełnienia, obecność patologicznych tkanek w kanale, niewłaściwe drenaże i szczelność, a także obecność kamienia nazębnego.
Najlepszym sposobem na zwalczanie bólu zęba po leczeniu kanałowym jest wykonanie dodatkowego leczenia. Może ono obejmować wykonanie wypełnienia lub wymianę wypełnienia, zastosowanie środków antybakteryjnych, a także usunięcie lub uszczelnienie kanału. Możliwe jest również zastosowanie leczenia z zastosowaniem materiałów biologicznych, takich jak przeszczepy tkankowe lub specjalistyczne preparaty.
Ważne jest, aby pamiętać, że ból zęba po leczeniu kanałowym może wystąpić w różnych formach i na różnym poziomie. Dlatego też ważne jest, aby skonsultować się z lekarzem, aby określić przyczynę bólu i zastosować odpowiednie leczenie.
Jak złagodzić ból zęba po leczeniu kanałowym?
Ból zęba po leczeniu kanałowym jest jedną z najtrudniejszych do złagodzenia dolegliwości stomatologicznych. Leczenie kanałowe jest skomplikowanym procesem, który może trwać od kilku do kilkunastu godzin. Tak długie leczenie może powodować u pacjenta dyskomfort lub ból zęba. Na szczęście istnieją sposoby na złagodzenie bólu zęba po leczeniu kanałowym.

Pierwszym krokiem, który należy podjąć, to przyjmowanie silnych leków przeciwbólowych. W przypadku bólu zęba po leczeniu kanałowym należy skonsultować się z lekarzem lub stomatologiem w celu ustalenia najbardziej odpowiedniego leku. Zaleca się również przyjmowanie leku przeciwzapalnego, aby złagodzić objawy zapalenia.
Kolejnym skutecznym sposobem na złagodzenie bólu zęba po leczeniu kanałowym jest stosowanie lodu. Umieszczenie kostek lodu na zębie może pomóc złagodzić ból, zwłaszcza jeśli jest to ból zapalny. Umieszczając kostki lodu na zębie, można również zminimalizować obrzęk.
Dobrym sposobem na zmniejszenie bólu zęba po leczeniu kanałowym jest stosowanie naparów ziołowych. Napary ziołowe, takie jak napar z korzenia kurkumy lub napar z nagietka, można przygotować w domu i stosować, aby złagodzić ból zęba po leczeniu kanałowym.
Ostatnim i najważniejszym krokiem jest unikanie stresu. Stres może zwiększać ból zęba po leczeniu kanałowym, dlatego ważne jest, aby unikać stresujących sytuacji. Można to osiągnąć poprzez ćwiczenia relaksacyjne, joga lub medytacja.
Wniosek jest taki, że ból zęba po leczeniu kanałowym można złagodzić, stosując odpowiednie leki i inne naturalne metody. Ważne jest, aby konsultować się z lekarzem lub stomatologiem w celu ustalenia najbardziej odpowiedniego leczenia.
Wniosek
Po przeprowadzeniu wielu dyskusji na Forum dotyczących bólu zęba po leczeniu kanałowym, można dojść do wniosku, że ból zęba po leczeniu kanałowym jest częstym problemem. Niestety, nie ma jednego uniwersalnego rozwiązania, które pomoże wszystkim osobom cierpiącym na ten problem. Każdy musi znaleźć optymalną metodę leczenia, która będzie odpowiadała jego indywidualnym potrzebom. Warto jednak zauważyć, że wiele osób wspominało o pozytywnych efektach leczenia farmakologiczne



Opublikuj komentarz